Jillur Rahman Saurav
Jillur Rahman Saurav
PhD Candidate • UT Arlington

Hi, I'm Saurav, a PhD Candidate and Research Assistant at Luber Lab under Dr. Jacob Luber. My research focuses on generative models in medical imaging. I'm working on AI models that use multimodal approaches to help improve cancer diagnostics and explore personalized treatment options, with applications in virtual staining, multiplexed imaging, and computational pathology. My work is published in NEJM AI, IEEE, and Springer venues.

Education

  • PhD in Computer Science University of Texas at Arlington 2021 - 2026 (Expected)
  • B.Sc. in Computer Science Shahjalal University of Science & Technology 2013 - 2018

Experience

  • Research Assistant University of Texas at Arlington 2022 - Present
  • Software Engineer pipilika.com 2017 - 2020

Research Interests

  • Virtual Staining & Multiplexed Imaging
  • Generative Models for Computational Pathology
  • Foundation Models for Medical Imaging
  • Multimodal Learning & Representation Learning

Recent News

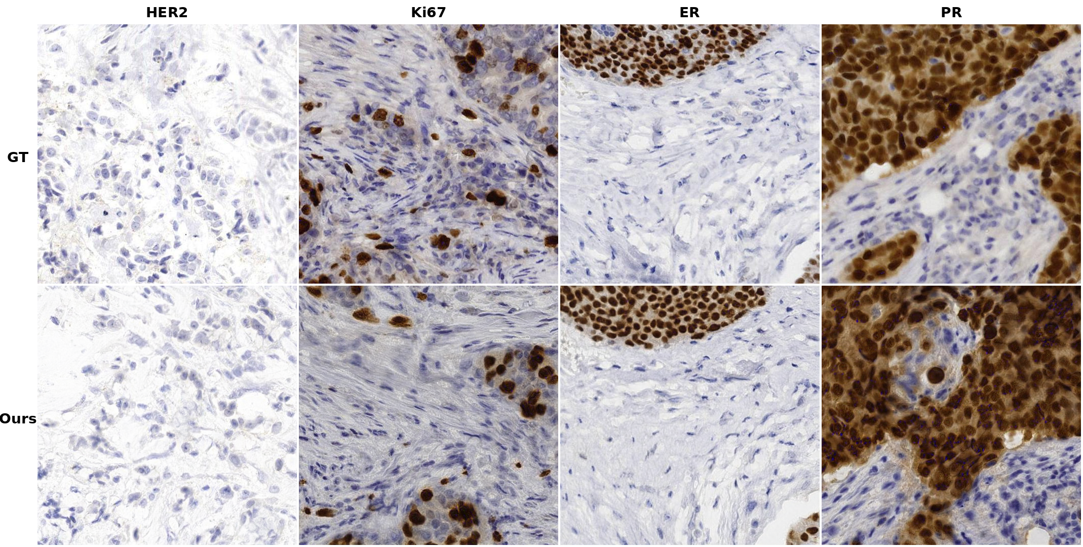
March 2026 New preprint: "UNIStainNet: Foundation-Model-Guided Virtual Staining of H&E to IHC" now available on arXiv
2025 Our paper "Cross-Domain Image Synthesis: Generating H&E from Multiplex Biomarker Imaging" accepted at MICAD 2025 (Springer LNCS)
October 2024 Our poster "Bridging mIF and H&E: A GAN-based Approach for Cross-Modality Image Translation in Digital Pathology" presented at APBJC 2024 (Okinawa, Japan)
May 2024 Our paper "Spatialvisvr: An Immersive, Multiplexed Medical Image Viewer" accepted at IEEE CIBCB 2024 (Natal, Brazil)
April 2024 New work on "Peptide Sequencing Via Protein Language Models" to appear at ACM-BCB 2024 (Shenzhen, China)
April 2024 Happy to announce that I have passed my Comprehensive Exam and became a PhD Candidate! 🎉
April 2024 Paper "An Augmented Reality Multiplexed Pathology Image Viewer" accepted at IEEE ISBI 2024 (Athens, Greece)
April 2024 "Histopathology Slide Indexing and Search" selected for ACM BCB 2024 Highlights Track (Chapel Hill, USA)
August 2023 "A SSIM Guided cGAN Architecture" selected as a highlight paper by ACM SIGBio 🏆
July 2023 Published "B-ner: A Novel Bangla Named Entity Recognition Dataset" in IEEE Access
June 2023 Our work "Real-Time Diagnostic Integrity Meets Efficiency" accepted at IEEE ICASSP 2023 (Rhodes Island, Greece)
April 2023 Paper "A ssim guided cgan architecture for clinically driven generative image synthesis of multiplexed spatial proteomics channels" accepted at IEEE CIBCB 2023 (Eindhoven, Netherland)
April 2023 Paper "Clinically Relevant Latent Space Embedding" accepted at IEEE ISBI 2023 (Cartagena, Colombia)

Featured Publications

UNIStainNet

UNIStainNet: Foundation-Model-Guided Virtual Staining of H&E to IHC

Saurav, J.R., Pham, T.L.H., Mukherjee, P., Yi, P., Orr, B.A., Luber, J.M. (2026) | arXiv Preprint

Cross-Domain Image Synthesis

Cross-Domain Image Synthesis: Generating H&E from Multiplex Biomarker Imaging

Saurav, J.R., Nasr, M.S., Luber, J.M. (2025) | MICAD, Springer LNCS

SSIM cGAN

A SSIM Guided cGAN Architecture For Clinically Driven Generative Image Synthesis of Multiplexed Spatial Proteomics Channels

Saurav, J.R., et al. (2023) | IEEE CIBCB

Histopathology Search

Histopathology Slide Indexing and Search — Are We There Yet?

Nasr, M.S., ..., Saurav, J.R., et al. (2024) | NEJM AI

Clinically Relevant Latent Space

Clinically Relevant Latent Space Embedding of Cancer Histopathology Slides through Variational Autoencoder Based Image Compression

Nasr, M.S., ..., Saurav, J.R., et al. (2023) | IEEE ISBI

For a complete list of publications, visit my Google Scholar profile

Skills